






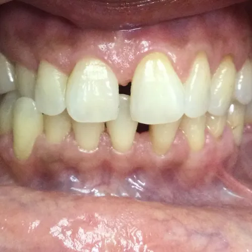
Our patient is so pleased with the result of his crown and bridge work. This is considered a long-term aesthetical and functional solution for eliminating the gaps between your teeth. Having missing teeth is extremely noticeable when you smile and speak, and it can significantly affect both.
Aside from closing the gaps and restoring your smile and speaking, it also helps to maintain your facial structure. By removing the gaps between your teeth, bridges likewise prevent your other teeth from shifting out of place, which could be the cause of more oral health problems like periodontal disease.





© Copyright 2026 | GIVR MEDIA | All Rights Reserved.